Scientists Discover Common Virus Could Be Causing a Type of Alzheimer’s : ScienceAlert

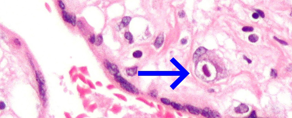
Researchers have discovered a link between a chronic gut infection caused by a common virus and the development of Alzheimer’s disease in some people. Most people encounter cytomegalovirus (CMV) during childhood, and after the initial infection the virus remains in the body for life, usually dormant. By the age of 80, 9 out of 10 […]
EUR/USD remains subdued around 1.0300 ahead of preliminary German inflation – FXStreet

Differences in monetary policy outlooks between the Fed and ECB could cause EUR/USD to fall to parity. Markets are pricing in a 113 basis point cut in ECB interest rates this year. The US Federal Reserve is expected to pause its easing cycle at its January meeting. EUR/USD fell slightly after registering gains in the […]
The Sentry: Results, Payout; Hideki Matsuyama wins $3.6 million in Maui

Hideki Matsuyama set the PGA Tour scoring record with his overwhelming performance at Sentry. The 2021 Masters champion finished at 35 under par with at least 35 birdies, setting a new record for most birdies or birdie holes in a 72-hole event. Matsuyama's outstanding performance earned him a hefty $3.6 million prize for the first […]
JOSH HAMMER: Bourbon Street Massacre Is What ‘Globalize The Intifada’ Looks Like

As woke illiberalism replaced living liberalism as the vibrant ideology of the American left, the State of Israel found itself increasingly marginalized. Never mind that modern Israel was founded and has been politically dominated for 30 years by a group of left-wing socialists. Never mind that Harry Truman, the iconic liberal Democratic president, became the […]
Bird flu wipes out 200 snow geese in Pennsylvania as expert fears ‘something worse is on the way’

More than 200 snow geese found across Pennsylvania's Lehigh Valley are suspected to have died from avian influenza, and experts fear the death toll could rise even further as cases continue to soar. are. The bird was found in Lower Nazareth Township, Norhampton County, and Upper Macungie Township, Lehigh County. 6ABC reported. The two sites […]
AG to launch full review into New Orleans security plan after Bourbon Street attack: report

Louisiana's top lawyer weighs in on Sugar Bowl and New Year's Eve amid growing concerns that New Orleans authorities could have done more to prevent the deadly Bourbon Street attack that killed 14 The plan is to begin a complete review of the security plan implemented in 2017. Dozens more people were injured, according to […]
Majority Leader Thune Told Trump Hegseth Has Votes to Be Confirmed

New Senate Majority Leader John Thune has reportedly told President-elect Donald Trump that he feels Trump's pick for Secretary of Defense, Pete Hegseth, will receive enough votes to be confirmed. He is said to have said. “Three sources” said According to CBS News, Mr. Thune privately told Mr. Trump, “I believe Mr. Hegseth will have […]
Out-of-control Ozempic use means sad, saggy future for TL;DR generation

In a world that increasingly demands instant gratification, Gen Z seems to be opting for chemical quick fixes instead of prioritizing health and fitness. a new report It has been revealed that 37% of this generation plan to rely on GLP-1 drugs such as Ozempic to lose weight in 2025, stop jogging and get the […]
Trump calls on GOP to pass his agenda in 'one powerful bill'

President-elect Trump on Sunday made public his support for Republican lawmakers to pass key elements of his agenda into a single reconciliation bill, setting the stage for what will be a long and complex legislative effort in the first months of his second term. was predicted to be expected. “Lawmakers are working on strong legislation […]
Skier killed after avalanche buries him alive in Wyoming backcountry

A backcountry skier was climbing a Wyoming mountain Saturday when a group of people he was with were killed when a massive avalanche triggered a massive avalanche that buried them alive, officials said. The four skiers were trekking up the remote Togwotee Pass on a skin track just before noon when a deadly avalanche occurred, […]