EMU basketball games flagged for suspicious betting activity

A gambling integrity firm is investigating Eastern Michigan's men's basketball program after reports surfaced of unusual gambling activity during two Eastern Michigan games this season. The most recent incident occurred during Tuesday's game between Eastern Michigan and Central Michigan and highlighted the concerns of sportsbooks and regulators. On Wednesday, Integrity Compliance 360 issued an alert […]
Unrivaled opening night delivers plenty of drama

MIAMI — Nafeesa Collier took a moment during player introductions Friday night before the first game of Unrivaled to take it all in. Music echoes throughout the venue. The fans cheered as each name was called. Blue and purple lights illuminated the flower path leading to center court, and some players posed before heading to […]
D’Angelo Russell misses shot to win it as Nets lose to Lakers

LOS ANGELES — At least this time, the Nets showed their intentions. But they overcame that with a 102-101 loss to the Lakers, helped by late heroics from LeBron James and Austin Reeves, in front of a crowd of 18,473 at Crypto.com Arena. Brooklyn tied it at 88-all about midway through the fourth after Ben […]
MLK Jr.’s son, daughter-in-law release new book, ‘What is My Legacy?,’ on forging humanitarian path

Every year, around the federal holiday Monday, there is a marked increase in education and conversation about the life and work of Martin Luther King Jr., one of the most prominent civil rights leaders in U.S. history. This year, Martin Luther King III and his wife, Andrea Waters King, created change and lasting humanitarian impact […]
Bondi: 'I Will Not Politicize' the DOJ

Pam Bondi, President-elect Donald Trump’s nominee for U.S. attorney general, criticized the “weaponization” of the Justice … source
Climate’s Mostly Out of Our Hands, We Can Control High Taxes for Nothing, Stupid DEI, Bass Going Nero

In the final monologue of Friday's broadcast of HBO's “Real Time,” host Bill Maher said that while climate change is making wildfires worse, “it's largely out of our control. What should we do?” Will the ballot measure pass? [the] Will the Chinese stop burning coal? ” But “some of the unforced mistakes our government has […]
Piers Morgan cuts mic on woman ranting about ‘white man mantra’ in wild moment

On Thursday, Piers Morgan's show descended into chaos after he bizarrely cut off a guest's microphone while repeatedly refusing to answer questions. British journalist and filmmaker Miriam Francois went on a rant during a panel discussion about the hostage trade between Israel and Hamas on “Piers Morgan Uncensored.” Morgan asked Francois, a sharp critic of […]
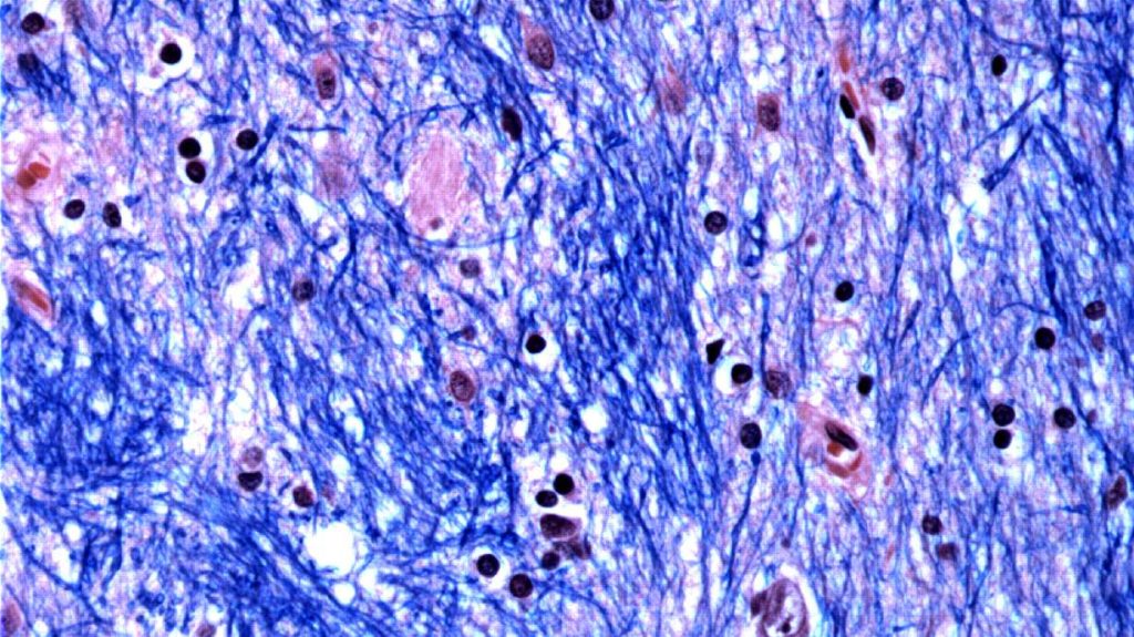
Finding sheds light on what causes Huntington’s disease, a devastating fatal brain disorder

BOSTON — Scientists are unraveling the mystery of what triggers Huntington’s disease, a devastating and fatal hereditary disorder that strikes in the prime of life, causing nerve cells in parts of the brain to break down and die. The genetic mutation linked to Huntington’s has long been known, but scientists haven’t understood how people could […]
Capital One technical issues cause delayed direct deposits for thousands – LEX 18 News – Lexington, KY

(LEX 18) — Tens of thousands of Capitol One customers are losing their direct deposits, and the company is calling it a third-party vendor issue. Ronnie Davis, of Somerset, is one such customer. He was paid nothing Wednesday, Thursday and today. “We have other money to make up for it, but it's still my money,” […]
LA teacher who lost home in Eaton Fire slams ‘self-serving narcissist’ Newsom for not being better prepared

A Los Angeles-area teacher whose home was destroyed in a devastating wildfire on Friday accused California Gov. Gavin Newsom of being a “selfish narcissist” for failing to prepare for the fires. Epi Cruz, 53, a father of three girls ages 8, 11 and 13, lost his $800,000 home in Altadena to the ground on Jan. […]