Supermodel wife Abeer Rizvi defends passenger Salman Iftikhar for his outburst towards flight attendants

Abeer Rizvi, who is often in the spotlight for her past as a supermodel, is now defending her husband, Salman Iftikhar, following his sentencing for a disturbing incident during a flight. He had faced serious charges after a meltdown that included threatening a flight attendant. Rizvi pointed to her husband’s mental health struggles as a […]
Greg Gutfeld shares his surprising first meeting with Jimmy Fallon on the ‘Tonight Show’

Gutfeld and Fallon Reminisce on Their First Meeting On Thursday’s episode of NBC’s “The Tonight Show,” Greg Gutfeld from Fox News shared a humorous account of how he first met fellow host Jimmy Fallon. After a warm greeting, Gutfeld playfully stated, “I’ve regained my memories.” “This is funny—it’s not the first time we’ve met,” Fallon […]
Japanese Yen draws sellers following BoJ Summary of Opinions

The Japanese Yen faces new supply pressures during Asian sessions, influenced by mixed signals on rate hikes from the Bank of Japan (BOJ). Positive risk sentiment is further weakening the Yen, although losses appear to be lessening. An expected reduction in Federal Reserve rates may contribute to limiting the rise of the USD and keep […]
Couple in Pennsylvania charged with making their starving 5-year-old eat his own waste after tying him to a chair and hitting him with a paddle.

Pennsylvania Couple Faces Child Abuse Charges A couple in Pennsylvania has been charged with child abuse after allegedly confining a 5-year-old boy underground and neglecting his care. Colleen Cassidy, 35, and the boy’s father, Charles Smitry V, 29, were taken into custody early Monday at Smitry’s home in Monessen. They face allegations related to child […]
Victim of Disney World attack identified as the assailant’s mother in surprising turn of events

A violent incident at Disney World has been confirmed to involve a woman who is also the mother of the assailant. Matthew Edward Cameron, 22, was captured in a viral video being subdued by bystanders at Magic Kingdom in October 2024, after reportedly attacking a woman near the park’s well-known hot dog stand, Casey Corner. […]
Japan sees nearly 1 million more deaths than births in 2024 as birth rates keep falling

In 2024, Japan experienced a staggering loss of nearly 1 million more deaths than births, highlighting its steepest annual population decline since records began almost 60 years ago. The population, which peaked at about 126.6 million in 2009, has been on a consistent downward trend, as reported by the Ministry of Home Affairs and Communications […]
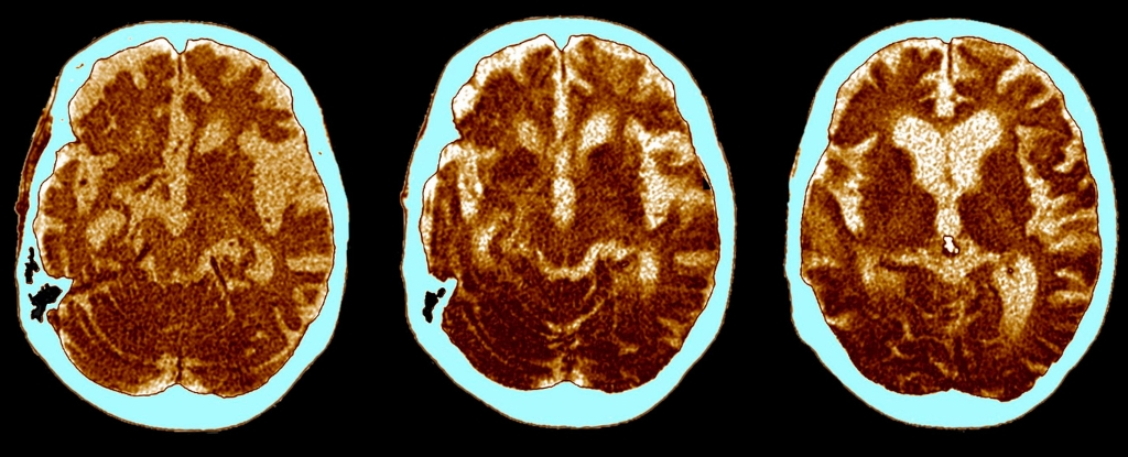
A Regular Vaccine Could Reduce the Risk of Dementia by Up to 20%

For the last two hundred years, vaccines have played a vital role in preventing infectious diseases. The World Health Organization suggests that vaccination saves around 3 million to 5 million lives each year from illnesses like diphtheria, tetanus, influenza, measles, and more recently, COVID-19. There’s been a long-standing scientific consensus on vaccines being effective in […]
Is it Time to Slow Down? Leading Analyst Lowers IonQ Stock Rating Due to Profit Worries

IONQ encountered a setback this week as Da Davidson analyst Alexander Platt downgraded the company’s shares but kept a price target of $35. Analysts pointed to increasing uncertainty about IONQ’s strategic direction and its profitability outlook. This downgrade comes after IONQ released a mixed report on Q2 revenues. Main reasons for downgrade Platt highlighted that […]
Child in Florida seeks help after witnessing father kill mother, grandmother, aunt, and himself in murder-suicide

Tragic Incident in Hilliard Authorities have reported a heartbreaking situation involving a father who killed his wife, mother-in-law, and sister-in-law. After committing these acts, he attempted to get help, though the details remain disturbing. Deputies arrived at a residence in Hilliard where they found the bodies of three women and a male shooter, identified as […]
James Carville retracts video implying a link between Melania Trump and Epstein and issues an apology.

James Carville, a Democratic strategist, issued a public apology on Thursday for sharing a video that hinted at a supposed “Epstein connection” regarding First Lady Melania Trump. During a recent episode of his Political War Room Podcast, the 80-year-old acknowledged that he deleted and edited the controversial video after receiving communication from Melania’s lawyer. In […]