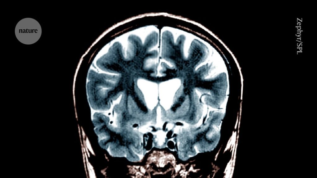
First use of gene therapy to treat Huntington’s disease

Significant Advancement in Huntington’s Disease Treatment A recent study indicates that a single gene therapy could significantly delay the progression of Huntington’s disease, potentially marking a pivotal moment for treatment options for this hereditary brain disorder. In a trial involving 29 participants at early stages of Huntington’s decline, those who received a high dose of […]
Bitcoin falls below $109K, but information indicates buyers are emerging.

Bitcoin Market Update Key Points: Bitcoin sales are on the rise, with growing allocation sizes from spot buyers. Liquidation heatmap data indicates potential sales could reach $107,000. On Thursday, Bitcoin (BTC) dipped to a two-week low of $108,865, attracting interest from various entities looking to buy at the lower end of this week’s price range. […]
“I’m Not the President at This Time”: Pro-Gaza Protesters Disrupt Kamala Harris Book Tour

Protest Disrupts Kamala Harris’ Book Event Former Vice President Kamala Harris faced interruptions during her book launch for “107 Days” on Wednesday night due to pro-Palestinian protesters. Video footage showed Harris addressing the New York City audience while dealing with the protest. “I’m not the president now,” she explained to the protesters. “There’s nothing I […]
Sean ‘Diddy’ Combs shows up in New York court before sentencing

Sean “Diddy” Combs made a court appearance in Manhattan on Thursday, wearing prison-issued garb while his lawyer sought to dismiss his case ahead of sentencing next week. The 55-year-old mogul, who had previously donned a button-down shirt and a sweater during his sex crime trial, was now in plain scrubs. His brief 90-minute appearance was […]
Documents Required: Britain to Implement Mandatory Digital ID for All Adults

The UK government’s left-leaning administration has revived the long-standing proposal from the Tony Blair era to introduce mandatory ID cards as part of a push for a more European-style identification system. This initiative comes shortly after the government, known for its efficient management of digital databases, inadvertently released the identities of thousands—including spies, diplomats, and […]
Tylenol claims old tweet was misinterpreted by the White House

On Thursday, the maker of Tylenol brought back to light an old social media post indicating that it “doesn’t actually recommend” the product for pregnant women. This resurfaced amid ongoing discussions about whether over-the-counter painkillers are linked to autism. The Department of Health and Human Services (HHS) pointed out a tweet from 2017 where Tylenol […]
Business executive acknowledges he took $1.6 million for his wedding, luxury vacations, and an unsuccessful venture.

A credit supervisor manager from a Long Island firm admitted to embezzling $1.6 million from his employer during a court session on Thursday. The funds were reportedly used to support a lavish lifestyle, which included a luxury yacht and a restaurant venture. Tony Ream, 34, from Greenville, South Carolina, managed to divert a staggering amount […]
Trump approves TikTok deal to prevent US ban

Trump Signs Executive Order on TikTok On Thursday, President Trump signed an executive order that greenlights a contract to keep TikTok operational in the US, following several months of uncertainty regarding the future of the popular Chinese-owned social media app. TikTok is set to reorganize itself under a new US entity to comply with the […]
Court Stops Trump from Taking FEMA Money from Sanctuary States

A federal judge has halted the Trump administration’s Department of Homeland Security (DHS) from reducing funding for the Federal Emergency Management Agency (FEMA) in states that maintain sanctuary policies and refuse to cooperate with Immigration and Customs Enforcement (ICE). In March, the DHS outlined new requirements that states must meet to access these FEMA funds, […]
South Carolina High School Teacher Taken into Custody, Allegedly Used Fart Spray in School

An assistant teacher at West Florence High School in Florence, South Carolina was arrested on Friday for spraying a foul-smelling substance throughout the school. Alexander Paul Robertson Lewis has been apprehended for covertly releasing a spray that resembles the odor of feces. Reportedly, the Florence County Sheriff’s Office discovered this after several students felt ill […]