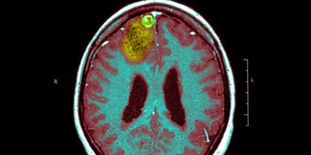
Doctor tries experimental cancer treatment to cure glioblastoma from a brain tumor

A leading skin cancer doctor is holding out hope that an experimental treatment could work miracles and cure a nearly incurable brain tumor. Richard Scolier is a professor and surgical pathologist at the University of Sydney, Australia. Professor Scoria also suffers from glioblastoma, one of the most deadly cancers. of mayo clinic Glioblastoma is defined […]
Chiefs’ Rashee Rice comes up big in Super Bowl 2024 to cap rookie year

LAS VEGAS — Laci Rice’s rookie season started with vomiting and ended with partying. Rice made two big catches on Sunday’s overtime touchdown drive to help the Chiefs come back from a 10-point deficit to beat the 49ers 25-22 in the 2024 Super Bowl at Allegiant Stadium. . He had six catches for 39 yards […]
Monetary, fiscal policy divide pose risks: NABE

Former CKE Restaurant CEO Andy Puzder explains the importance of addressing the impact of wages on U.S. debt and restaurant affordability. As inflation eases and more economists bet on a soft landing for the U.S. economy, new risks of policy push and pull are emerging. The gulf between fiscal and monetary policy is a growing […]
TikTok now reportedly shares directions on how to cross the border wall

As the influx of migrants from around the world continues to surge, many are entering the country through gaps in the border wall, and TikTok is reportedly helping them do so. “TikTok, TikTok,” an interpreter speaking on behalf of a 37-year-old female Chinese immigrant relayed to .60 minutesafter being asked how he learned about the […]
Patrick Mahomes joins elite company after being named Super Bowl MVP for third time

Patrick Mahomes is a three-time Super Bowl champion and three-time Super Bowl MVP. The Kansas City Chiefs quarterback is currently on a fast track to joining the GOAT conversation, and in fact, he’s already in it. Mahomes is a third-time MVP candidate and part of an elite company. He, Tom Brady (five) and Joe Montana […]
‘PLAYED FOR SUCKERS’: Biden avoids halftime chat, posts about Super Bowl

‘The Big Weekend Show’ panelists discuss a new poll showing 86% of those polled are worried about President Biden’s age. source
Chiefs’ Travis Kelce gives cryptic explanation for tantrum, Andy Reid bump

The Kansas City Chiefs won their third Super Bowl in the last five seasons, but it didn’t look that way in the first half of Sunday night’s game against the San Francisco 49ers in Las Vegas. The sideline meltdown in which Travis Kelce nearly knocked out head coach Andy Reid made that clear. Kelce told […]
Two Israeli hostages freed in Rafah, says IDF, as Palestinians report dozens of deaths | Israel-Gaza war

At least 37 Palestinians were killed in an Israeli attack on the southern Gaza city of Rafah, Gaza health officials said, and Israeli forces said they had released two hostages during a raid on the city by special forces. An official at the Gaza Strip’s Hamas-run health ministry told Reuters that the bodies of 20 […]
‘I’m Still Recovering From It’: Actress Over The Moon After Interaction With Tom Hanks

America Ferrera shared a heartwarming anecdote that left her nearly speechless during her interview with PEOPLE published Sunday. Ferrera revealed that she received praise from none other than the esteemed actor Tom Hanks, who she has long admired and aspired to emulate in her acting career. The 39-year-old actress recounted how Hanks approached her at […]
Dude Got Hit So Hard He Was Horizontal In The Air

San Francisco 49ers receiver Chris Conley put on his big boy pants and absolutely levelled Kansas City Chiefs punt returner Richie James Jr. on this highlight-worthy hit in Super Bowl LVIII. Playing as a gunner on special teams, Conley friggin FLIES down the field and almost takes James’ head off on this electric hit. Flying […]