A leading skin cancer doctor is holding out hope that an experimental treatment could work miracles and cure a nearly incurable brain tumor.
Richard Scolier is a professor and surgical pathologist at the University of Sydney, Australia. Professor Scoria also suffers from glioblastoma, one of the most deadly cancers.
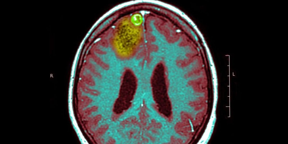
of mayo clinic Glioblastoma is defined as:
A type of cancer that begins as a growth of cells in the brain or spinal cord. They multiply rapidly and can invade and destroy healthy tissue. Glioblastomas form from cells called astrocytes, which support nerve cells. Glioblastoma can occur at any age. However, it tends to occur more often in older people and occurs more often in men. Symptoms of glioblastoma include a headache that keeps getting worse, nausea and vomiting, blurred or double vision, and seizures.
according to health line“Median survival for adults with glioblastoma is 15 months.”
just 3%~5% of patients survive for more than 3 years.
Scoria, a 57-year-old married father of three, was diagnosed with a brain tumor last June.
For treatment strategies, Mr Scoria turned to his friend Georgina Long, co-director of the Melanoma Research Institute of Australia.
by Australian Broadcasting Corporation“Both have been at the forefront of groundbreaking advances in melanoma treatment and have saved thousands of lives with their immunotherapy approaches.”
“We took all of the knowledge that we had developed in the field of melanoma and put it into Richard’s tumor,” Long told the outlet.
Knowing the unusual odds and the importance of timing, Long proposed a radical plan to treat the nearly incurable brain tumor. However, there were also significant risks.
Professor Scoyer is beginning The world is calling for delaying brain surgery to remove tumors and starting preoperative combination immunotherapy.
“Combination immunotherapy counteracts several immunosuppressive elements within the tumor microenvironment and activates multiple steps of the cancer immune cycle.” National Library of Medicine.
He was also the first person to receive a personalized vaccine to fight tumors.
“My brain tumor doctors were very worried that this would either kill me early or cause me to have severe side effects,” Scoyer explained.
Scolier joked that the treatment plan was “simple.”
“It’s not hard to make decisions when you’re faced with the certainty of death, and I’m very happy to be that guinea pig,” Scoyer said.
Scolier, his family and treatment team were extremely nervous when it came time for his latest brain scan at the end of January.
Long said his friend’s brain was “normalizing”.
“I’m excited,” said Scoiler, “My glioblastoma, which is supposed to be incurable, hasn’t come back!”
Scolier said the chances of a cure for the advanced cancer are “very slim,” but he is optimistic that “a miracle might happen.”
Dr. Scoyer declared, “I honestly believe this will make a difference for future brain tumor patients.”
He warned, “I’m just a patient. I don’t really know.” [it works] Until we do a clinical trial. ”
Mr Scoyer said: BBC He said he wants to live long enough for his children to “become truly independent.”
Doctors said that he had an “extraordinary ability to recover” but that it was “tough”.
“I love my family. I love my wife…I love my job,” he declared with a grimace.
“I’m angry. I’m devastated,” he said. “I do not want die.”
His only consolation is that the data from his experimental treatment is “changing the field. If I died tomorrow with it, I’d be so proud.”
Do you like Blaze News? Avoid censorship and sign up for our newsletter to get articles like this delivered straight to your inbox. Please register here!
Experimental treatment for ‘certain death’ | Professor Richard Scoyer | The Australian storywww.youtube.com





